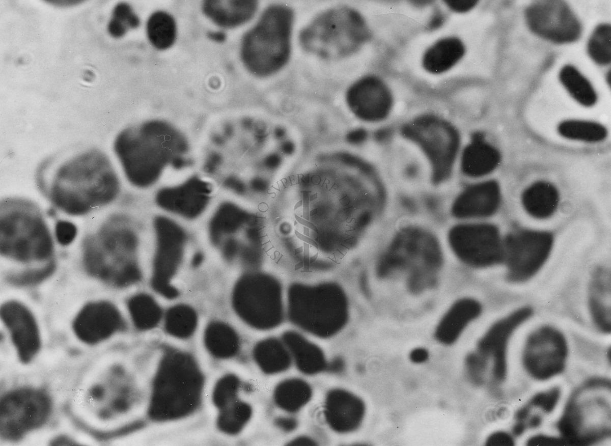
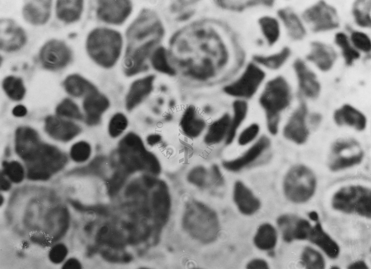
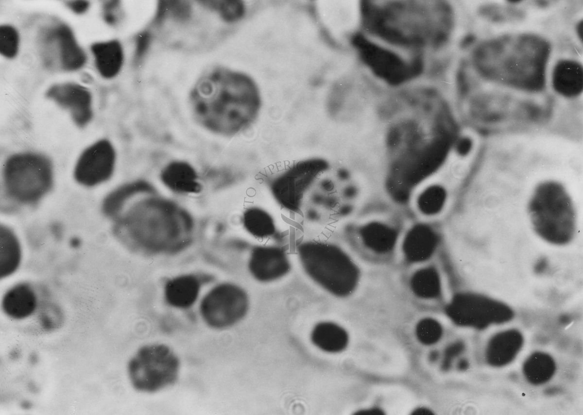
Immagini di Emoprotozoi

Roma, 14 febbraio 1962

indicazioni sul soggetto

Immagini di Emoprotozoi

codice identificativo

PAREN.00835-00841

temi

Questo sito utilizza cookie tecnici, analytics e di terze parti.
Proseguendo nella navigazione accetti l'utilizzo dei cookie.

Preferenzecookies